降97%*图像噪声,图像观感自然
相同图像质量下,剂量最高可降70%*
低对比度分辨率提升99%*,利于斑块、心肌、瓣膜显示
空间分辨率提升72%*,利于钙化斑块、支架显示
抑制高密度物质条状、晕状伪影,管腔狭窄程度评估更准确
解决动态心肌灌注辐射剂量偏高难题
uCT Atlas Pro
深度融合业界领先的人工智能技术,聚焦日益增加的心脏CT检查需求, uCT Atlas Pro 通过智能化的操作流 程与创新的心脏图像重建技术,不仅实现了自由心脏成像技术,更显著提升了心脏诊断的精准度;采用革命 性的双精度图像感知技术,涵盖形态学与功能学检查,有效去除伪影获得低剂量高清图像;全新智能后处理 平台,带来秒级工作效率与超真实渲染技术,尽享卓越影像体验。智慧感知平台,共享健康新未来!
沉浸式心脏诊疗智慧流程
极智创新 自由心脏
CT高清成像多维创新方案
智慧感知 精准临床
服务器架构智慧数智引擎
智能处理 无需等待
冠状动脉CT血管造影(CCTA)已经成为冠心病无创影像检查的首选方法,为冠心病的预防、诊断、治疗和康复提供了重要工具。uCT Atlas Pro不仅具备领先的One-beat心脏成像技术,同时融合众多人工智能(AI)技术,实现从摆位、扫描、冠脉时相选择、运动伪影校正、图像重建等全流程的智能操作,提供沉浸式心脏诊疗智慧流程 ,实现自由心脏成像!
针对心脏重建算法精心研发,利用深度学习技术显著增强图像分辨率、消除伪影干扰,同时有效降低辐射剂量与噪声,维持图像纹理的自然与真实。
降97%*图像噪声,图像观感自然
相同图像质量下,剂量最高可降70%*
低对比度分辨率提升99%*,利于斑块、心肌、瓣膜显示
空间分辨率提升72%*,利于钙化斑块、支架显示
抑制高密度物质条状、晕状伪影,管腔狭窄程度评估更准确
解决动态心肌灌注辐射剂量偏高难题
凭借全流程人工智能技术,实现患者快速自动摆位、自适应曝光、自动时相选择、冠脉运动伪影消除、以及一键式三维图像处理等智慧化操作,优化心脏检查的图像质量,并提升医生的诊疗效率。
精准洞察患者对安全的需求、及影像科面对的繁重工作,uCT Atlas Pro将尖端的深度学习技术融入图像重建环节,实现图像质量的全面提升,也可大幅降低CT检查的辐射剂量。创新的智慧感知技术,为影像学领域的发展注入了新鲜活力与强劲动力!
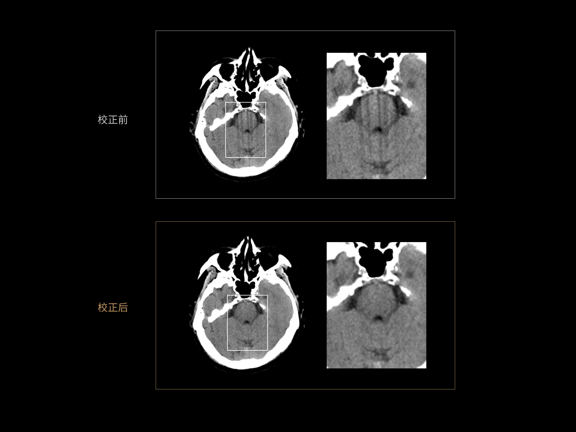
Motion Freeze技术:基于深度学习技术校正头部运动伪影,保持头部结构清晰显示。
AI完全视野感知 82cm 全视野成像
Ultra EFOV*:突破50cm扫描视野限制,获得全视野精准解剖结构成像。
获得82 cm孔径内全视野解剖结构的精准成像。
82 cm超大视野
突破传统拓展视野的插值算法局限性,图像精度更高。
AI 深度学习算法
在50-82 cm的拓展视野内,CT值偏离在±20HU内。
CT值测量准确
灵活的成像视野设置,适用于不同临床场景,特别是面对肥胖患者、急诊扫描以及部分特殊体位患者时,展现出极高的应用价值。
临床应用灵活
uOmnispace.CT智能后处理工作站* ,依托高性能客户端-服务器架构,提供“智能化、跨学科、多场景、安全可靠”的高级影像后处理解决方案,极大地提升了影像处理效率和质量,为三维影像后处理带来了革命性的新体验。
* uOmnispace.CT后处理工作站为独立注册产品